Neurocirugía Pediátrica
Hospital Universitario Vall d'Hebron
Iniciar sesión
Nombre de usuario o Email
*
Contraseña
*
Home
Actualidad
Localización
Manuales y recomendaciones
Contactar
FAQ
Descargar
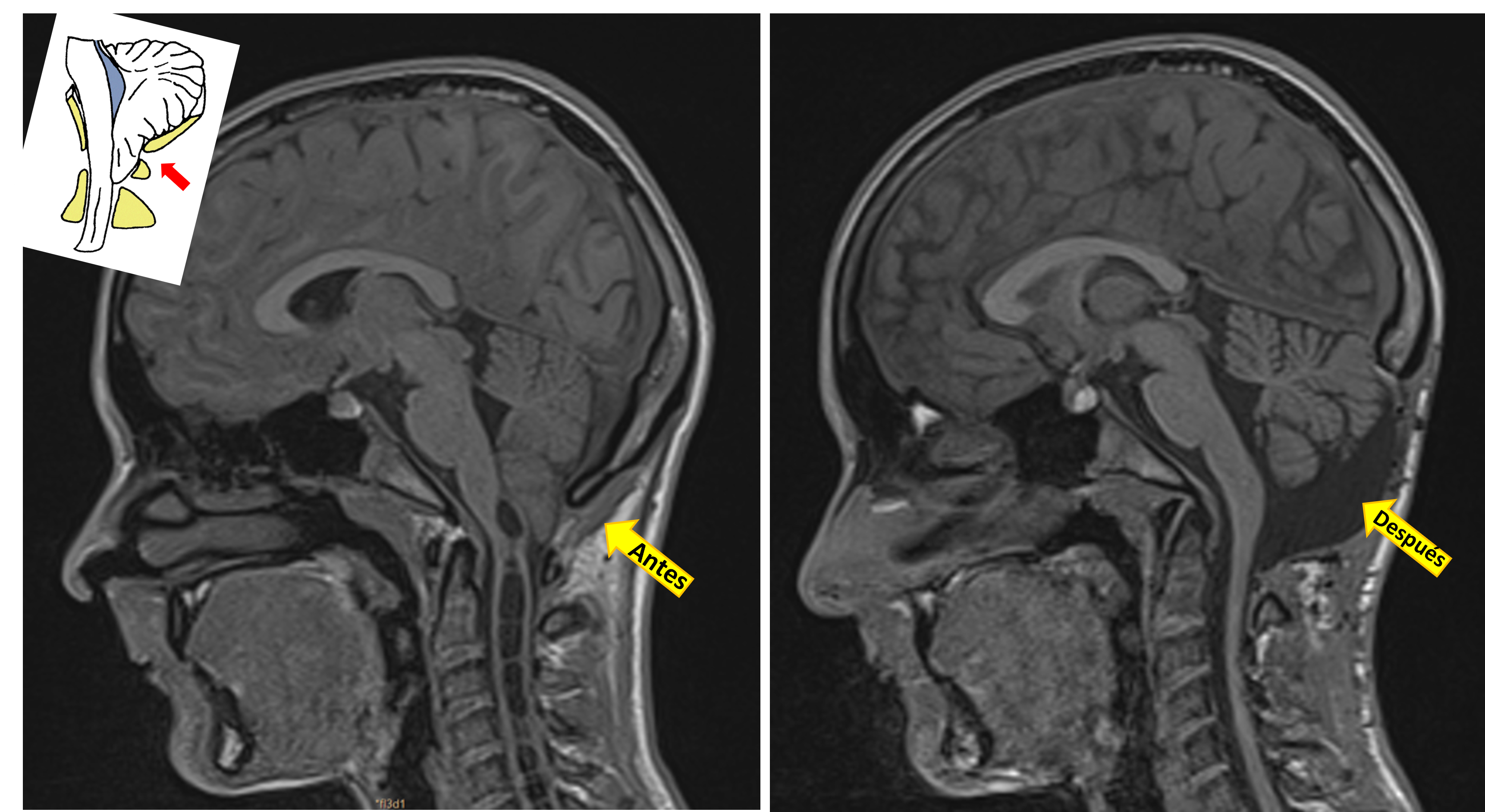
Lineas investigación Chiari
Lineas investigación Chiari
Por
neurosurgery4children.org
6 June 2023 @ 1:15pm